Before I start this post, I want to say thank you for all the kind words. Please know I have read every comment and text, even if I haven’t had the capacity to respond. I hope we can connect following my surgery.
For over a month I have been practicing how to brush my teeth, put on clothes, or do other mundane life tasks without my right hand or arm to compare which would be more difficult. I even talked to my childhood (rockstar) physical therapist to see if she had an opinion: “Is it better to sacrifice some of my hand or my leg?” How ridiculous is it to even have to think about that question??
I was doing all this because after my first meeting in October with Dr. Bi, we were expecting some permanent functional loss or weakness particularly in my right arm. I had to consider how much risk I was willing to take in losing movement in my leg, arm, and hand.
Well, I may have jumped the gun. Last Tuesday I had a functional MRI, which looks at which parts of the brain correlate to different actions. We did the following tests:
-Hand open & close
-Ankle/toe up & down
-Lip scrunching or duck face (to test facial muscles)
-Finger taps
-Passive foot movement (where a tech moves my right foot for me)
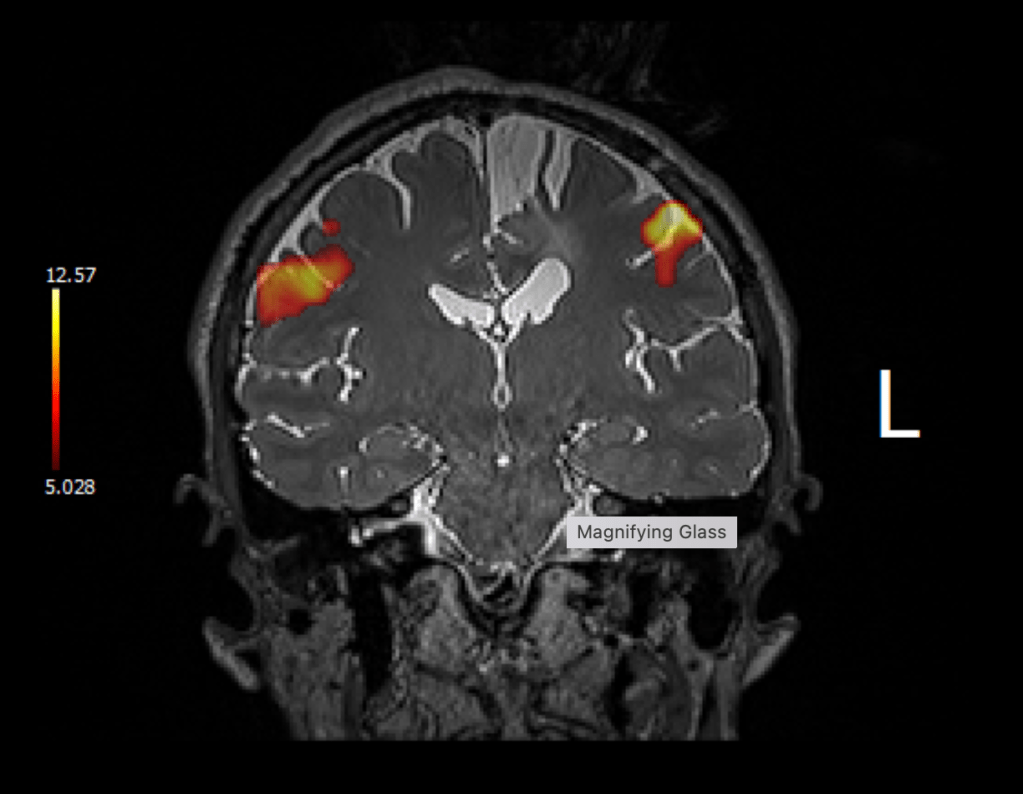
The most important result was the following:

The above image shows that my hand motor function is just next to the tumor.
When my Mom and I discussed these results via Zoom with Dr Bi on Thursday, she said, she thinks she can get the tumor out without any permanent functional loss or weakness. My Mom and I looked at each other slightly stunned, not knowing what to say. I had an entire list of questions regarding permanent disability, and they all became (cross our fingers), irrelevant.
A few important things to mention, however, to keep us grounded. One, fMRIs are rough indicators, so she will not truly know what is going on until she is mapping my brain with the electrodes I explained in my last post. And two, she expects I will wake up with weakness and need to do rehab to get back to where I am now (potentially more so than my 2018 surgery).
I’m the superstitious type, so it’s hard for me to take Dr. Bi at her word without knocking on whatever wood is nearby, but at least I’m not trying to open up a bottle of toothpaste with one hand tonight.
If you’re interested in some other interesting functional MRI images, I’ve included them at the end of this blog. But since I’m writing this just before the day of my surgery, I wanted to get to something important to me.
Ways to help
This recurrence is not my first rodeo, although every time is different. I know from past experience that I will get the support I need because my caregivers will go above and beyond, (my Mom and stepfather in particular), to do what is needed for my health and recovery.
In general, caregivers go through a different, yet equally challenging journey, and are often overlooked when people reach out and ask, “let me know how I can help.”
Well, if you have asked me, “how can I help,” first, thank you for even asking. Second, there are going to be two very distinct phases that will require different types of support.
While I’m inpatient, it’s honestly a bit easier. For me, the best way to help is by reaching out/hanging out. For my family and partner, a gift card to DoorDash makes things just slightly easier when they have been at the hospital and didn’t plan time to cook a meal. If you would like to send a DoorDash gift card please send them to mwolbarst@gmail.com.
While I’m outpatient, a lot of my needs that were being taken care of by the hospital are suddenly being transferred to my caregivers and myself, particularly meals, groceries, and rides. Given this, I have preemptively set up a CaringBridge site to coordinate requests when I finally do leave the hospital. If you think you’ll be able to assist with any of the above, please go to this link and click “follow”: https://www.caringbridge.org/visit/helpingjeremyandfamily.
Well…that’s it for now, I guess! My sister will be posting updates here on my blog and on Facebook until I’m feeling able to do so. So for now, I’ll see you around 5 or 6pm tomorrow when I wake up!
With love,
Jeremy
Interesting fMRI pictures (interesting note is that I was able to obtain these myself using my patient portal and scrolling through the MRI test!):
Image of my facial muscles working on both sides:

Image of me tapping my right fingers together:

The next two images are of the technician moving my right foot, which caused my brain to light up like a Christmas tree! A lot of my foot and leg movement rewired itself when I had my first surgery in 2004. Yay for brain plasticity!


Dear Jeremy,
<
div>Thinking of you and sending light and love. So glad to hear the wonderful latest news and hope everything goes well tomorrow!!!!!!! We love you …XOXOXO Carol
Sent from my iPhone
<
div dir=”ltr”>
<
blockquote type=”cite”>
LikeLike
Dear Jeremy
The Corkin Family prays and wishes you the surgery success you will have.
Love
Us
LikeLike
Best of luck to you and your medical team tomorrow! You will be in my prayers …
LikeLike
Dear Jeremy
Linda and I will be thinking of you here in Amsterdam today, and standing by for remote support via DoorDash and notes
Erik
LikeLike
I am praying for you Jeremy.
LikeLike
Thinking of you, Jeremy! I’ve just heard of your most recent recurrence. Sending so much love for your recovery journey.
LikeLike