This post is probably not going to be that well written because I’m honestly just tired. The past few days, a lot of stress has been building up as I approach my first chemotherapy treatment today.
To those who are just finding out about this for the first time through my blog, I apologize, but I haven’t had the energy to reach out to everyone.
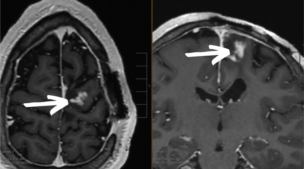
On February 4th I had my usual bimonthly MRI. We have been following my tumor closely because of an area of enhancement (tumor cells recruiting blood vessels) that has been on my scans for more than a year. I have been on Vorasidenib (the newest brain tumor treatment) since September 2023 to stop or at least slow down any tumor growth.
Unfortunately, the Voarsidenib isn’t slowing down the growth enough for this particular spot, so we have to change course.

Since my first recurrence in 2014 my doctors and I have held off on the PCV chemotherapy. This stands for procarbazine, lomustine (CCNU), and vincristine. PCV was, and still is a standard of care for brain tumor patients. In 2014, I didn’t do PCV because Temodar (a newer chemotherapy for brain tumors was an option). During my 2018 and 2022 recurrences, I didn’t do PCV because my tumor’s MGMT promoter is unmethylated. MGMT, is a DNA repair enzyme, and if it is unmethylated, it can produce a lot of repair enzymes to fix up DNA. Past research showed that PCV would be less effective for my tumor given its MGMT characterization. Fortunately, recent research has shown that my tumor’s MGMT methylation status may not have as much of an impact on PCV’s effectiveness.
We always treated PCV as something we have in our back pocket just in case, and now is the time to use it…
Today is my first treatment of the procarbazine and lomustine. Vincristine doesn’t cross the blood-brain barrier well, so we aren’t going to use it. The hope is that I can get through six, 6-week cycles. However, this all depends on if my white blood cell count and platelets can remain high enough. On top of that, I’m expecting significant nausea in the first week of each cycle as well as fatigue. Worst of all I won’t get to eat any cheese (among other foods)!
Despite having been on many treatments, this one is probably going to be the most challenging physically (aside from my surgeries). That does make me a bit nervous. (And did I mention no cheese?!?)
The goal is to get through all these PCV cycles, and perhaps hop back on Vorasidenib (which was having some effectiveness with the non-enhancing parts of my tumor). PCV is another can in my saga of “kicking the cans down the road.”
Living with an oligodendroglioma since I was 12 years old has been a marathon. I’ve been very privileged to have a slow-growing tumor and to keep kicking the can past the average life expectancy.
Surgery in 2004 –> can kicked
Temodar in 2014 + radiation –> two cans kicked
Surgery, radiation, expérimental treatments, and immunotherapy in 2018 –> a whole box of cans kicked
Surgery in 2022 –> another can
Vorasidenib in 2023 –> a new, bright and shiny can kicked
But how many cans are left in my pile to kick?
Switching to PCV makes me keenly aware that my pile of cans is getting smaller, and that feels unsettling.
I’m not without hope, though. I have many factors still on my side. Hopefully PCV is effective, and I still have Avastin.
I’m also lucky that my tumor is relatively small and slow growing, and that while my tumor affects my motor function, it does not affect who I am as a person. This gives me time for new treatments to come along.
But new treatments will not arrive without funding and collaboration. Last year, I received an award from OligoNation, which is advancing translational medical research for oligodendrogliomas. They have formed a research collaborative that has already led to the first immunotherapy trial designed for Oligos at the University of Florida.
I am a proud committee member of the Inspiring Hope Boston Gala. Please join me in attending, donating, or both! The funds we raise will go to more cans for me, and so many others like me, to keep kicking down the road. A road full of life.
Thank you,
Jeremy

As always, beautifully said. No right words to say back, except I hear you and want you to keep kicking. Make noise, loud and strong. Sending love, Nancy
LikeLike
Thank you for the update! Please keep kicking those cans down the road!!
LikeLike
Jeremy, so sorry to hear of your recurrence. I’ve done PCV for oligo and it’s not fun. Yes the dietary restrictions are a huge pain but I was able to eat a few fresh cheeses (fresh mozzarella, cottage, ricotta etc.) but nothing aged and no cured meats, anything with yeast extract and the list goes on. I made it through though! I hope it goes well for you and especially that it’s effective.I’m in a similar situation after 7 years of stable MRI, my last 3 have shown a progressively growing enhancement area so it’s time to decide on my next kick of the can. Options include a second surgery and/or more chemo. I knew this day would come, but still…Wishing you success and may this kick be a long one!
LikeLike
Praying for you Jeremy.
LikeLike
Thinking of you, Jeremy!
LikeLike
hi jeremy
holding you close in my heart… i found acupuncture ameliorated the toxic effects of my chemotherapy…
love, janet
will make a donation too
LikeLike